8weeks periksa di klinik oleh dokter umum
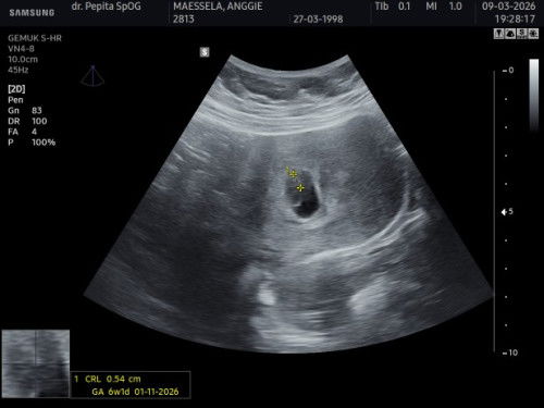
bun,disini adakah yg mengerti?,hari ini karena udab 8w ga sabar periksa. pas dateng ternyata yg periksa dokter umum dan usg. tapi katanya masih terlalu dini dan djj nya gabisa terdengar. tapi beliau bilang ada kantungnya.. tapi beliau sendiri ngomongnya kurang yakin huhu. kalau dari gambar apakah ada kantung dan calon janin nya bun?#mohonbantujawabbunda #Sharingdong_Bund
Đọc thêm







Dari kemarin mau USG maju mundur karena takut belum kelihatan, alhasil karena pengen dapet vitamin juga memutuskan usg. Diliat dari hasil USG kisaran 6-7 week dan Alhamdulillah udah ada detak jantungnya. Perkiraan HPL 1 november. Semangat buat para bunda semua 🫶🏻✨#firstmom #Sharingdong_Bund #askmommies
Đọc thêm