When Will You Appear?
Hi! How many weeks will the baby appear on the ultrasound? As per this application, I am currently 6 weeks and 6 days pregnant and I took a Serum test as well and it is positive. I took a TransV yesterday but my uterus is clear and there is no trace of pregnancy yet. I have PCOS before. Maybe it is too early for the baby to be detected on the ultrasound? Is it possible that I conceived later than the computed dates?


As per my OB, dapat daw po 8 weeks para makita mo at malaman ang heartbeat nagpa transv din ako di nila makita ung baby and may pcos ako before kaso lumipat ako ng other OB kasi iba ung diagnosis sakin so sa new OB ko 8 weeks daw dapat for transv para makita mo si baby kasi ung 4 weeks wala pa daw po un tuldok lang, 5 weeks may sac pero walang baby, 6 weeks may sac pero napakaliit pa ni baby, 7 weeks may sac and little seed pero no heartbeat pa, 8 weeks makikita mo na ung baby and heartbeat 🙂
Đọc thêmI'm 7weeks nung unang nagpa transv may heartbeat na. Usually kapag 6 weeks may sac or fetal pole na makikita kahit wala pang ma detect na heartbeat. Dapat ang nakalagay sa ultrasound mo is early intrauterine pregnancy. Kasi ganun yung kakilala ko na 5weeks pregnant walang heart beat pero nakalagay early intrauterine pregnancy, suggest to repeat scan after 2 weeks.
Đọc thêmWait ka lang po yung akin nakita na 10weeks nag pa check up din ako ganyan 6 weeks and 5 days ako nun hnd pa sya nkita sabi ni ob itlog pa lang daw sya kaya pinabalik ako ni ob after 1 month at yun nkita na sya malaki na

Saken sis 6 weeks may heartbeat na, ayan sya. Now 25 weeks and 5 days na 😊😊 iba iba po siguro talaga yung pagbubuntis hintay pa po kayo mga 2 weeks tapos patransV po kayo ulit. 😊

it’s normal, maybe for about 9weeks makikita na si baby. same case as well when i was on my 6th week. am now 5mos pregnant turning 6 months next week🥰

Iba iba po siguro kase po 6weeks 2days ako nung nakita na pregnant may heartbeat na din po sya wait ka lang po nang ilang weeks pa

12 weeks po akin bago ma detect pero ultrasound na po di na transV .Nag transV kase ko 4weeks palang tummy ko wala din makita
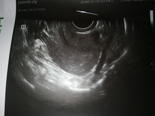
Hi, I also had my transV last July 3 (6week and 6days too) but it appears like this and it has heartbeat. ❤

Hi sis same here 5 weeks pregnant and tvu shows no baby.. Scheduled ulit sa 20 hopefully kita na sya
Hello mommy, 7 weeks and 1 day and my baby already appeared in ultrasound. 🥰🙂


Supermom of a superkid Aoi