BPD janin lebih besar dari usia kehamilan
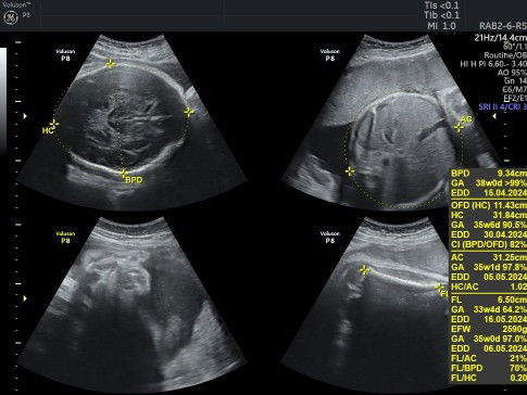
Halo bun. Kemarin saya usg di usia kehamilan 32w4d. Alhamdulillah kata dokter semua aman, struktur otaknya bagus banget, jantung, janin, dll insyaa Allah semua bagus. Cuma bbjnya yg kelebihan.. tapi sampe rumah overthinking bgt krn baru engeuh BPDnya besar banget, sampe selisih 5 mingguan. Kalau kaya gini aman gak yaa bun? Adakah bunda yg pernah mengalami hal serupa? Boleh sharingnya yaa bun krn ovt banget🥺 #SeriusTanya #ingintahu #bantusharing
Đọc thêm
BPD janin lebih besar dari usia kehamilan
Halo bun. Kemarin saya usg di usia kehamilan 32w4d. Alhamdulillah kata dokter semua aman, struktur otaknya bagus banget, jantung, janin, dll insyaa Allah semua bagus. Cuma bbjnya yg kelebihan.. tapi pas sampe rumah overthinking bgt krn baru engeuh BPDnya besar banget, sampe selisih 5 mingguan. Kalau kaya gini aman gak yaa bun? Adakah bunda yg pernah mengalami hal serupa? Boleh sharingnya yaa bun krn ovt banget🥺 #SeriusTanya #ingintahu #bantusharing
Đọc thêm

Halo bunda2, salam kenal. Tadi aku abis usg di usia kehamilan 11w3d. Alhamdulillah kata dokter semua aman, normal, dan janin aktif krn banyak gerak. Djj juga aman walaupun aku ga tau berapa djjnya. Aku ga banyak tanya dan ga banyak dijelasin krn dokter buru2 dan antre.. ga tau kenapa masih ada kekhwatiran di aku apalagi ga ada cek NT:( Aku udh cek google beberapa istilah usg, tapi aku ga tau arti dari keterangan di samping kanan itu (F, D, G, FR, dll.) Apa bunda2 di sini ada yg lebih paham sama hasil usg aku? Kalo ada boleh sharing yaa bun. Terima kasih.. #bantusharing #ingintahu #firstmom
Đọc thêm

