theAsianparent-communitytheAsianparent-community
  • Trang Chủ
  • Cuộc thi
  • Công thức
  • Thực phẩm
  • Theo dõi
  • Chủ đề
Đăng nhập / Đăng ký
    • Cộng đồng
  • Bình chọn
  • Ảnh
  • Thực phẩm
  • Công thức
  • Chủ đề
    • Theo dõi
  • Theo dõi thai kỳ
  • Theo dõi bé yêu
    • Phần thưởng
  • Phần thưởngPhần thưởng
  • Cuộc thi
  • VIP ParentsVIP Parents
    • Thêm
  • Phản hồi

Về chúng tôiChính sách bảo mậtĐiều khoản sử dụngTiêu chuẩn cộng đồngSơ đồ trang web

Tải app miễn phí của chúng tôi

google play store
app store
mama baim profile icon
Kim cươngKim cương

mama baim, Indonesia

Kontributor

Điểm nổi bật

5
Người theo dõi
0
Theo dõi

Giới thiệu mama baim

Ibu hamil

Bài đăng(21)
Kỷ niệm(0)
Trả lời(97)
Bài viết(0)
Grup HPL: November 2023
3y trước
  • Chia sẻ

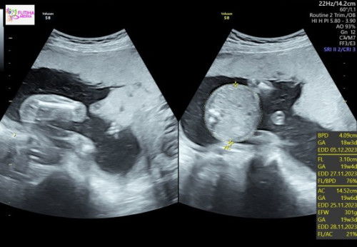
Hasil usg : BPD janin kurang 10 hari

Hallo mam, mau tanya, waktu usg usia kehamilan 20 minggu, tapi ukuran BPD (diameter kepala janin) kurang 10hari ( 18weeks 3day) ga sempet tanya dokter, karna pas usg belum sadar, dokter pun ngga menjelaskan karna fokus ke organ janin, tapi saya kepikiran terus mam, apakah ada yang sama ?

Hasil usg : BPD janin kurang 10 hari

3 Thích

2 Trả lời
Thành viên VIP
Đã trả lời 3y trước bởi intannur
    normal Bun waktu saya ga paham trs saya ditelpon smaa dokternya nnya,cmn klo saya cuman 3 hari bedanya

    1 Bình luận

     profile icon
    Viết phản hồi

    Điểm nổi bật

    5
    Người theo dõi
    0
    Theo dõi
    Bé Yêu-Logo
    Hỏi & Đáp

    Đón đọc các bài báo về làm cha mẹ, phong cách sống và các quan điểm của chuyên gia ngay chỉ với 1 nút bấm!

    Bình chọn

    Tham gia cuộc thăm dò thú vị và xem những cha mẹ khác nghĩ gì

    Ảnh

    Chia sẻ những ảnh đáng yêu của những nggười bạn thương yêu một cách an toàn kín đáo

    Chủ đề

    Tham gia cộng đồng để gắn bó hơn với những ông bố bà mẹ cũng như mình

    Theo dõi

    Theo dõi thai kỳ cũng như phát triển của bé yêu từng ngày!

    CÔNG TY CỔ PHẦN THE PARENT
    Tầng 4, Công Viên Phần Mềm Quang Trung, Số 01 Tô Ký, Phường Tân Chánh Hiệp, Quận 12, Thành phố Hồ Chí Minh, Việt Nam
    Điện thoại: (+84)028 7109 7772
    Hotline: 086 641 0566
    Email:[email protected]

    GPTLMXH số 357/GP-BTTTT do Bộ Thông tin và Truyền Thông cấp thay đổi lần 1 ngày 15/07/2022. Chịu trách nhiệm nội dung: Đặng Thị Nghệ Hà.

    Liên hệ quảng cáo
    Bé Yêu-Logo

    Đã có mặt! App miễn phí! Tải ngay hôm nay!

    google play storeapp store

    CÔNG TY CỔ PHẦN THE PARENT
    Tầng 4, Công Viên Phần Mềm Quang Trung, Số 01 Tô Ký, Phường Tân Chánh Hiệp, Quận 12, Thành phố Hồ Chí Minh, Việt Nam
    Điện thoại: (+84)028 7109 7772
    Hotline: 086 641 0566
    Email:[email protected]

    GPTLMXH số 357/GP-BTTTT do Bộ Thông tin và Truyền Thông cấp thay đổi lần 1 ngày 15/07/2022. Chịu trách nhiệm nội dung: Đặng Thị Nghệ Hà.

    Liên hệ quảng cáo
    © Copyright Bé Yêu 2026. All rights reserved
    • Điều khoản sử dụng
    • Chính sách bảo mật
    • Tiêu chuẩn cộng đồng
    • tools-nav-icon_1Công cụ
    • article-nav-iconChủ đề
    • pregnancy-nav-icon
    • feed-nav-icon-greyHỏi & Đáp
    • poll-nav-icon-greyBình chọn