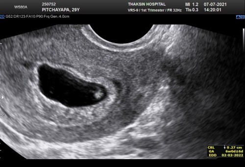
6w ภาวะแท้งคุกคาม
ไปซาวด์ทางช่องคลอด 6 w เห็นแต่หัวใจน้องกระพริบ แต่ยังไม่เจอเสียงหัวใจเลยคะ แล้วตอนนี้ เกิดภาวะแท้งคุกคาม เลือดออกทุกวัน หมอฉีดยากันแท้งให้ 1 เข็ม น้องจะเป็นอะไรมั้ยคะ ลุ้นๆมากเลยคะ ขอคำแนะนำจาก แม่ๆหน่อยคะ

2 Các câu trả lời
Mới nhất
Được đề xuất

Viết phản hồi
หัวใจกระพริบ คือหัวใจเต้นอยู่ค่ะ ครรภ์อ่อนขนาดนี้เปิดฟังเสียงไม่ได้ค่ะอันตราย มันเป็นคลื่น ต้อง 10 วีค หน่อยค่อยฟังเสียงจะได้ปลอดภัย
เป็นกำลังใจให้นะคะ ✌🏻
ขอบคุณนะคะ
Câu hỏi liên quan
Câu hỏi phổ biến

กำลังวางแผนมีลูก