ความยาวปากมดลูก
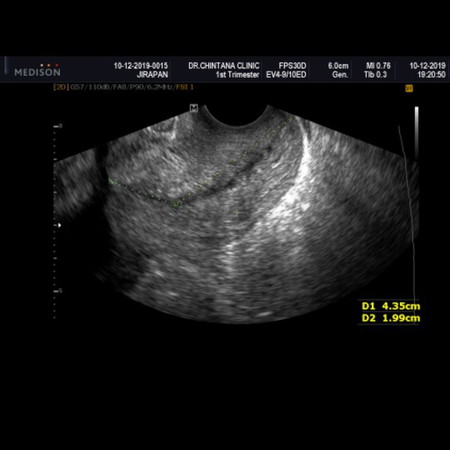
วันนี้ไปตรวจวัดปากมดลูกมา หมดกังวลค่ะ ปากมดลูกยาว 6 ซม. อายุครรภ์ 18 สัปดาห์ 3 วัน

1 Trả lời
Mới nhất
Được đề xuất

Viết phản hồi
ยินดีด้วยจ้า
Câu hỏi liên quan
Về chúng tôiChính sách bảo mậtĐiều khoản sử dụngTiêu chuẩn cộng đồngSơ đồ trang web
Tải app miễn phí của chúng tôi
วันนี้ไปตรวจวัดปากมดลูกมา หมดกังวลค่ะ ปากมดลูกยาว 6 ซม. อายุครรภ์ 18 สัปดาห์ 3 วัน


ยินดีด้วยจ้า