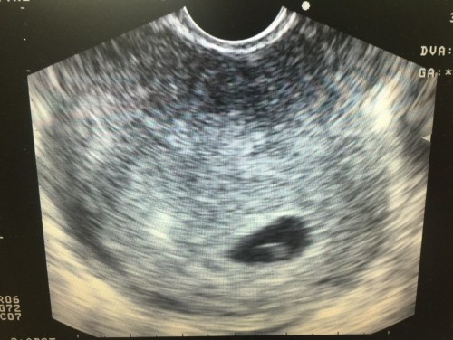
มีเลือดออกสีน้ำตาล เป็นอะไรไหมค่ะ เลยไปหาหมอหมอซาวดูให้ ตั้งครรภ์ประมาณ 5 W หมอบอกว่าน่าจะเป็นเลือดตกค้างแม่ๆคนไหนเลยเป็นบ้างไมค่ะ

Vô danh
1 Trả lời
Mới nhất
Được đề xuất

Viết phản hồi
เลือดออกเยอะมั้ยค่ะ ถ้านิดเดียว ออกตอน 5w เป็นสันยานการตั้งครรภ์ค่ะ เรียกเลือดล้างหน้าเด็ก เคยเป็นเหมือนกัน
Câu hỏi liên quan
Câu hỏi phổ biến